
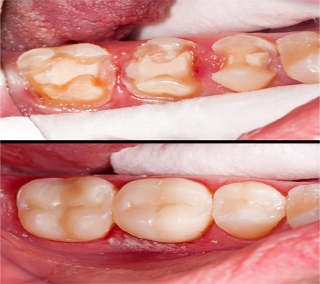
Dental inlays and onlays are used to restore decayed or damaged teeth to their original condition and actually strengthen them. In some cases, both inlays and outlays can be an alternative to a dental crown or standard filling. The primary difference is that while fillings are applied directly to the tooth, inlays and onlays are produced in a dental lab and cemented to the tooth. They can be made of gold or a porcelain type of material. Inlays and onlays have a number of advantages that make them a preferred choice for dental restoration:
- They have a natural looking tooth color that lasts longer
- They strengthen teeth by up to 75% and also decrease tooth sensitivity
- They preserve as much as of the healthy tooth as possible
- The are easier to clean than other types of dental restorations
- They can prolong the life of teeth
- They are better at sealing cavities between teeth than standard fillings
- They have a much higher resistance to chewing pressure.
What is the difference between an inlay and onlay?
A dental inlay is used when a tooth is damaged and cannot be restored through direct restoration of a filling, An inlay is a filling that consists of a solid substance fitted into a cavity in a tooth and cemented into place. It is used when a tooth is damaged and cannot be directly restored.
An onlay is the same as an inlay, except that it extends to replace the curved portion of the tooth. It is generally used when the damage is more extensive and the restoration covers the entire chewing surface, including one or more tooth cusps. Crowns are outlays that completely cover all surfaces of a tooth.
What is involved in the procedure?
Restoration of a tooth using an inlay or onlay involves two separate visits to our office. During the first visit, the tooth is prepared for the restoration. The dentist will take an x-ray of your teeth and then an impression of the tooth in question to ensure the aesthetics and dimensions of the restoration. This information is sent to the dental lab where the restoration will be created. The dentist also clears away the damage or decay from the tooth. While you wait for the inlay or onlay to come back from the lab, you will be given a temporary restoration, which is placed on the tooth to protect it. You can expect to wear the temporary restoration for about a week or so.
During the follow-up visit, the dentist will remove the temporary filling and determine if any additional adjustments need to be made to the restoration. It’s important that the dental inlay or onlay fit perfectly and not interfere with the patient’s bite in any way. Once the fit has been confirmed, the new material is bonded to the tooth and then polished to make it appear similar to the patient’s natural teeth. The cement material used to bond the new restoration can prevent any potential leaking.
One major benefit of having a dental inlay or onlay is that it allows the dentist to take an x-ray of the filling and ensure there are no underlying issues associated with the previous damage done to the teeth. The inlay and outlay procedure have a very high success rate and through proper oral hygiene these new restorations can last for many years.
What to expect afterwards.
Recovery time for a dental inlay or onlay is about the same as with a standard filling. There is little or no discomfort after the procedure and patients begin healing immediately. Of course, as with all dental procedures, it’s important to maintain a regular oral hygiene routine to prevent future dental cavities and tooth decay.
To learn about inlays and onlays as an alternative for restoring your teeth, come in today or schedule an appointment with our office today for a consultation. Contact Us!
