
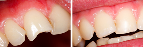
In dental bonding, the dentist applies a tooth-colored durable plastic resin material and hardens it using a special ultraviolet light or laser. This “bonds” the material to the tooth, restoring it and improving its appearance. After the material hardens, the dentist trims and shapes it further and then polishes it to match the sheen of the rest of the tooth surface. Dental bonding is used to repair decayed, chipped or cracked teeth; to improve the appearance of discolored teeth; to close spaces between teeth; to make teeth look longer or change their shape; and to serve as a cosmetic alternative to amalgam fillings. It is also used to protect a portion of a tooth’s root that has been exposed when gums recede. Generally speaking, the dental bonding procedure is best suited for minor cosmetic changes and for correcting teeth in those areas of the mouth where there is very low bite pressure (i.e., the front teeth). Because the bonding material can chip, a patient should avoid nail biting and chewing on ice or other hard foods or objects.
Dental bonding is a popular cosmetic alternative.
Dental bonding is one of the easiest and least expensive procedures for improving one’s smile. It requires very little advance preparation, and usually does not involve anesthesia unless the bonding is being used to fill a decayed tooth. The dentist uses a shade guide to select a composite resin color that most closely matches the color of the patient’s tooth. Unlike porcelain veneers and crowns, which are customized and need to be manufactured in a dental lab, bonding usually can be one office visit—unless several teeth are involved. The entire process takes less than an hour per tooth to complete. Another advantage over veneers and crowns is that very little of the tooth enamel is removed in dental bonding.
There are a few minor drawbacks to dental bonding, however. Although the material used is somewhat stain resistant, it does not resist stains as well as crowns, nor does it last as long. The lifespan of dental bonding materials depends on how much bonding is done and a patient’s oral habits. Typically, the material can last anywhere from 3 to 10 years before it needs to be touched up or replaced.
Dental bonding is a very popular cosmetic alternative for improving the appearance and health of your teeth. An added advantage is that bonded teeth do not require any special care. Simply following good oral hygiene practices is all that it takes to keep that attractive smile.
At Crystal Dental Centers, we have dentists who specialize in the dental bonding procedure. To find out more about it — and learn if it’s right for you — schedule an appointment with us for a consultation. Contact Us!
